01625 599 001 Online Referrals Contact Us

Case 1 - Implants

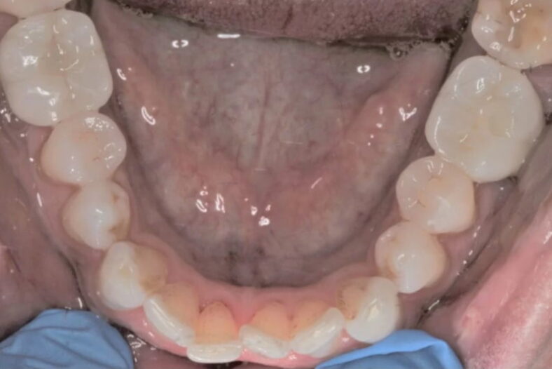
This patient lost his two of his lower molar teeth. Implants were placed on either side to replace…

Read More

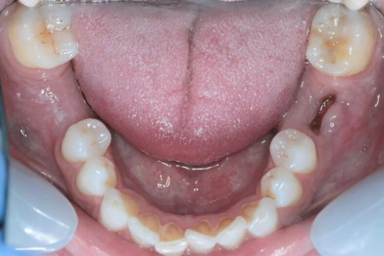
Case 2 - Implants

Read More

GET IN TOUCH

Google Rating
4.9
Google Rating
Google-review