01625 599 001 Online Referrals Contact Us

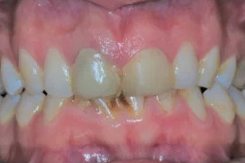
Crowns/ Veneers Case 1

Read More

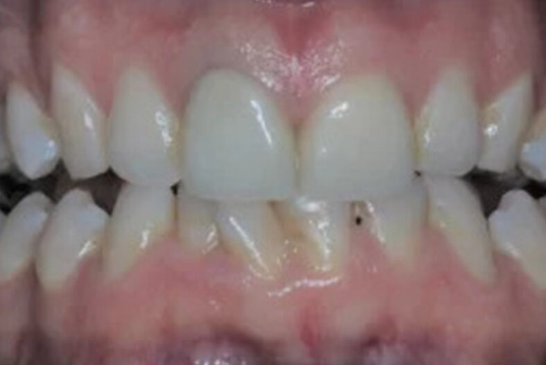
Crowns/ Veneers Case 2

This gentleman came to us having damaged his front two teeth in a sports accident. We provided him…

Read More

GET IN TOUCH

Google Rating
4.9
Google Rating
Google-review