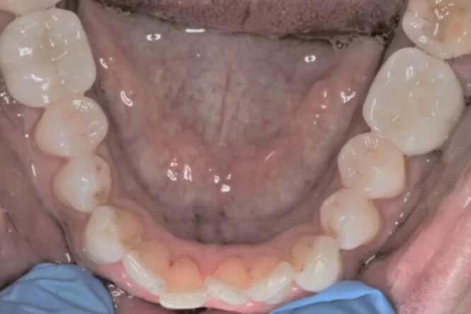
This patient lost his two of his lower molar teeth. Implants were placed on either side to replace the lost teeth as they were a long term option and did not damage any of his other teeth.
The Edge dental are fantastic. I have had a wonderful journey over the last year and a half, with lots of much needed work, culminating in successful teeth straightening. They are very caring, gentle, knowledgeable and understanding and I now won't go anywhere else. I am super happy about my teeth (thanks Tony!) and now have the smile I always wanted. I'm suffering some health issues and Riz has decided to delay some of my dental treatment until I have seen a cardiologist - this shows the care that The Edge Dental offer, and knowledge they have in keeping clients safe whilst on their dental journey. Thanks so much to you all ❤️🙏
The team at The Edge dental practice are very professional, courteous and caring.I attended the practice very recently as I needed emergency treatment. They will become my permanent dentist now.Riz explains the treatment plan fully and gives you choices. He makes you feel relaxed and I feel I’m in safe hands.I would recommend this practice.
Great service! All the way from day one. The team at The Edge Dental (Reception, dentist and assistants) showed a high standard and dedication to the customer from the point that you walk through the door and after the treatment finished. Very professional, focus on every detail, checking every aspect of the treatment, and following up after everything was completed. As mentioned at the beginning, Great support! Big Thanks to Dr. Rhyz, Frankie and the Reception team 👍
Amazing dentist, needed a one off treatment 4 or so years ago, the care provided was brilliant and made me want to become a patient. That level of care and service has been consistent throughout! Best dentist around! Also more than happy to drive from Liverpool for my appointments because of how great the service is.
In a word, BRILLIANT.All of the team are professional, knowledgeable and extremely courteous. The dentists are leaders in their fields and do outstanding work.They were very patient and really took the time to listen to my concerns and get to know me.They are amazing at juggling schedules to fit in appointments and communication around appointments and treatment plans is really clear.Would highly recommend.
I visited The Edge Dental when I recently had a broken back tooth and my own dentist couldn't see me for more than 2 weeks, neither as an NHS patient nor privately. I called and was offered an appointment 3 hrs later where I saw Miss Shah who came up with a temporary solution so I could still have my planned few days away. I have since returned so we could continue the treatment. The whole process was so professional and efficient yet at the same time friendly and reassuring. I am very happy to have found The Edge and specifically Miss Shah.
Had an emergency appointment to extract a wisdom tooth that I couldn’t get booked in anywhere within a few weeks. Removing it carried the risks of a) piercing my sinus and b) breaking a small bone in my jaw. That said, tooth pain and a slowly closing jaw makes you act quickly and whilst the recovery hasn’t been particularly enjoyable; the skill, care and professionalism of the clinic can not be faulted. I was INCREDIBLY nervous but was made to feel so comfortable and the procedure went perfectly. I’ve been very fortunate that I’ve not needed any major dental work in my life and was surprised at the affordability of this place. Consequently, I intend to return for my regular dentistry requirements as I felt so taken care of. Thank you so much!
I cannot recommend The Edge Dental highly enough. I discovered a small lump in my upper lip which had my regular dentist puzzled. A dermatologist confirmed I needed to find a maxillofacial surgeon. After a Google search I came across The Edge Dental who were so helpful and professional from the very first phone call and fit me in that same week for a full consultation and surgery. I am absolutely delighted I finally found someone who was able to help me. Thank you to Leo and the rest of the team who put me at complete ease during the procedure. It couldn't have gone more smoothly and I'm delighted with the results. I wouldn't hesitate in using them again for any future treatments. Thank you!
So few months ago I was in desperate need of dentist. Having reached out to many many dentist locally to where I live not one of them would see me whether private or not. So having to message quite a few away from where I live only one dentist gave me an appointment which was the very next day to my amazement. The egde dental alderly edge were brilliant.friendly professional staff . So once they had sorted my problem out I then decided to give the rest of my teeth the attention I had wanted to do for years . I put the trust in my dentist miss s shah made me feel so comfortable and at ease every time I went . Yes no dentist is cheap but they had several ways to pay which was affordable to suit me . So today was the last of my treatment and I’ve not been this happy for years and gave me confidence to smile again . Thank you to u all at the egde dental 5 star treatment . See u in 6 months for a check up THANKYOU. TO U ALL .
What else is there that I can say,A 5 star rating,for A 5 star dentist,with A 5 star staff,who I have made firm friendships with.went in as a nervous patient with crooked teeth,and left as a friend with straight teeth.Thank you guys,your amazing.
I can only give the highest recommendation to The Edge Dental as they deserve it! As someone who was petrified of visiting the dentist, The Edge Dental was the perfect practice for me as the staff are very professional and patient. They answered all my questions and ensured I received the highest quality care at every step. If you are reading this and uncertain where to go for your treatment, The Edge Dental will not disappoint you!
All the staff at The Edge Dental are so friendly and re-assuring. I usually never enjoyed going to the dentist but since registering with The Edge Dental I feel so at ease and really well looked after. The quality of the work they do is incredible and I cannot reiterate enough how much of a friendly and relaxed environment it is. Wouldn’t go anywhere else.