01625 599 001 Online Referrals Contact Us

Fillings Case 1

This old metal filling had developed decay underneath it over the years. We removed the metal filling, cleared…

Read More

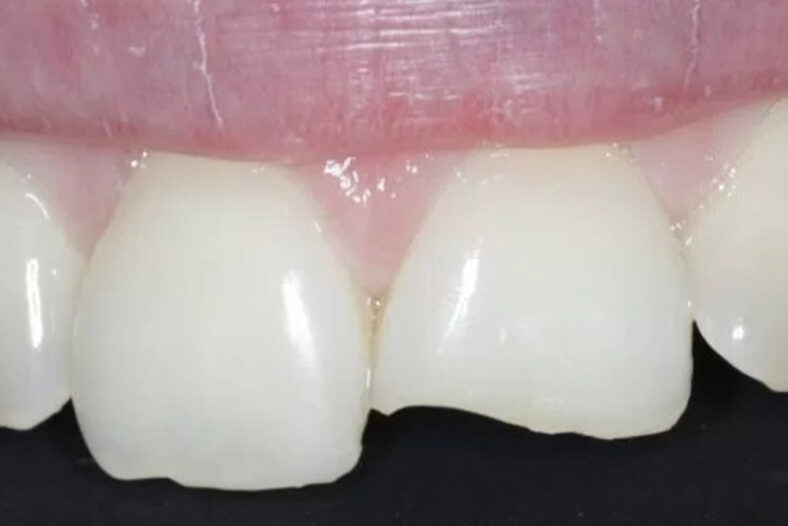
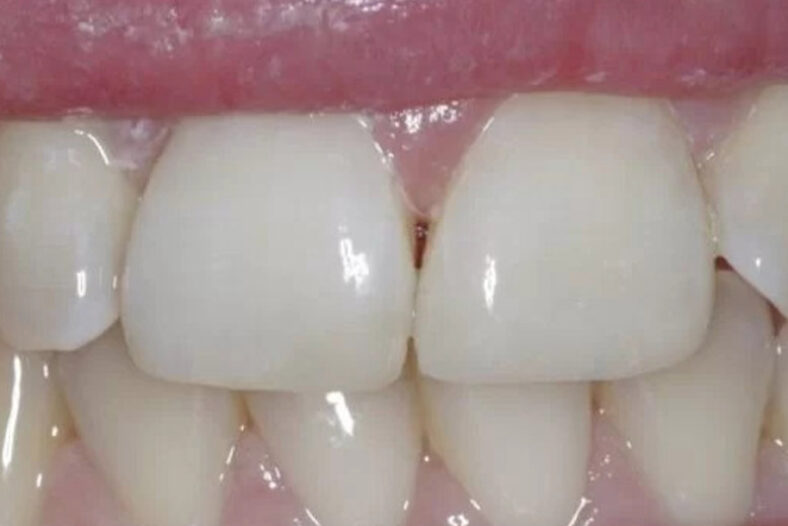
Fillings Case 2

This tooth needed a repair after an old filling had broken off. This result using composite bonding was…

Read More

Fillings Case 3

This silver filling needed replacing due to dental decay underneath the surface. The patient wanted a better cosmetic…

Read More

Fillings Case 4

Read More

Fillings Case 5

Read More

GET IN TOUCH

Google Rating
4.9
Google Rating
Google-review