01625 599 001 Online Referrals Contact Us
Before - The Edge Dental

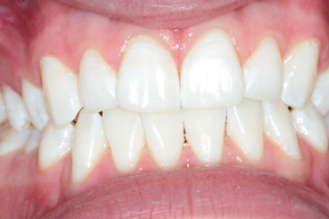
Before

After - The Edge Dental

After

Whiter, brighter smile!

Can you believe these pictures were taken 3 weeks apart!

This is our amazing patient who simply wanted whiter teeth, and that’s exactly what we did! Enlighten Whitening is a professional home and in-surgery tooth whitening system which delivers results every time and is so simple for patients to carry out at home.

Teeth Whitening is safe and effective when carried out by a qualified dentist. Did you know that it is illegal for anyone other than a dentist to carry out tooth whitening in the UK?

Tooth Whitening used on unhealthy teeth or by unqualified people can cause harmful damage to your teeth and gums.

For more information regarding this treatment
Contact Us OR phone phone 01625 599 001
Back to Smile Gallery

GET IN TOUCH

“I cannot recommend The Edge Dental enough. I went to them last Septemb....”

Alice Hulley

“Always friendly & courteous. The Edge Dental are by a mile the best de....”

Vin Hawke

“My 11-year-old son was in agony with one of his teeth at 10 pm tonight....”

Louise Ludbrook

“I have a fear of the dentist and have avoided going to the dentist for....”

Lynda Finney

testimonials
Google Rating
4.9
Google Rating
Google-review