01625 599 001 Online Referrals Contact Us
Before - The Edge Dental

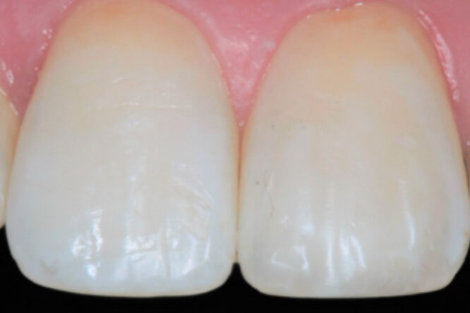
Before

After - The Edge Dental

After

Instant results and low costs.

Who knew a single tooth could have such an effect on a smile. Our fantastic patient finally found the courage to have their front tooth addressed.

We started with some Enlighten Tooth Whitening to lift the colour of the teeth. We then replaced the discoloured filling on the central incisor tooth with a new composite filling. Composite bonding is a simple and less invasive way to transform your teeth. Instant results and low costs, what could be better?

For more information regarding this treatment
Contact Us OR phone phone 01625 599 001
Back to Smile Gallery

GET IN TOUCH

“I cannot recommend The Edge Dental enough. I went to them last Septemb....”

Alice Hulley

“Always friendly & courteous. The Edge Dental are by a mile the best de....”

Vin Hawke

“My 11-year-old son was in agony with one of his teeth at 10 pm tonight....”

Louise Ludbrook

“I have a fear of the dentist and have avoided going to the dentist for....”

Lynda Finney

testimonials
Google Rating
4.9
Google Rating
Google-review