01625 599 001 Online Referrals Contact Us

Transform your smile by using veneers to enhance and improve the appearance of your teeth.

Veneers can fit over the outward-facing surface of your front teeth, changing the way they look. They are essentially a thin, porcelain cover that sits on top of the tooth, covering up discolouration and chips, closing gaps, and bringing teeth into line with others.

We will carefully match the veneer in size, shape and colour so that it blends in beautifully with the rest of your teeth for a natural-looking smile.

What does the treatment involve?

Veneers often require very minimal preparation. Some cases will not require any preparation at all to the tooth. Those that do only need minimal work, removing the shiny, outer enamel surface of the tooth to ensure the veneer can be bonded properly.

If we need to treat the tooth, this is done first so we can take impressions or scans. These are used to create veneers, which are also colour-matched to blend in neatly with your smile.

When we receive the veneers from the lab, we invite you back for the fitting. We make sure that they look and feel great before using dental cement to fix them in place.

Looking after your veneers

While veneers look just like natural teeth, they aren’t as strong as natural enamel. Take care not to bite down on hard foods to avoid breaking the porcelain. Veneers have a greater chance of lasting a long time if great oral care is maintained, protecting the natural tooth from decay.

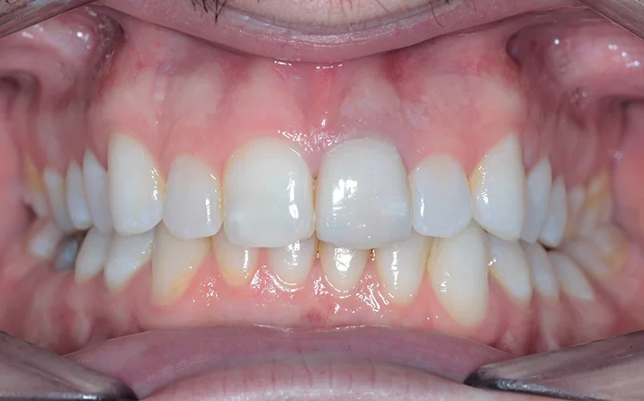
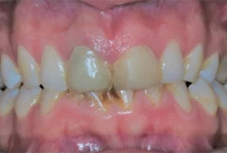
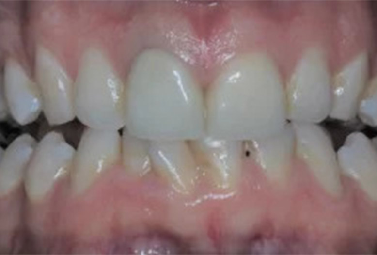
Before
After
Before
After
Before
After
For more information regarding this treatment
Contact Us OR phone phone 01625 599 001
Back to Cosmetic Dentistry

GET IN TOUCH

“I cannot recommend The Edge Dental enough. I went to them last Septemb....”

Alice Hulley

“Always friendly & courteous. The Edge Dental are by a mile the best de....”

Vin Hawke

“My 11-year-old son was in agony with one of his teeth at 10 pm tonight....”

Louise Ludbrook

“I have a fear of the dentist and have avoided going to the dentist for....”

Lynda Finney

testimonials
Google Rating
4.9
Google Rating
Google-review